bright dental pa
All-On-X Implants Lehigh Valley, PA

What Is Rapid Digital Conversion™?
Rapid Digital Conversion™ is our signature digital process that captures precise 3D dental and facial data using advanced scanning technologies and streamlines the transition from surgical placement to a functional full-arch restoration. By harnessing a fully digital workflow from day one, we reduce manual steps and improve consistency, fit, and patient comfort throughout the treatment journey. (Trademark Rapid Digital Conversion™ is owned by Bright Dental.)
This innovative method:
Accelerates the planning and conversion process for full-arch implant restorations
Improves accuracy of the prosthesis fit through digital superimposition
Enhances aesthetics, function, and patient satisfaction
Reduces chair time and streamlines clinical visits.
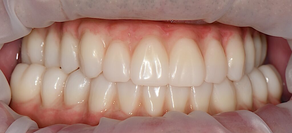
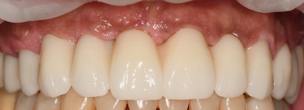
Personalized Full-Arch Implant Solutions
At Bright Dental, we offer All-On-X implant restorations tailored to your oral health, bone structure, and aesthetic goals. With four or more strategically placed dental implants serving as anchors, we provide a secure and natural-feeling smile that restores both form and function.
Our Rapid Digital Conversion™ workflow ensures:
• Immediate digitally captured records for exact diagnostics
• Sophisticated digital planning for precise implant positioning
• Seamless integration of implant surgery and prosthesis design
**• A detailed, predictable treatment progression from start to finish
Benefits Patients Love
All-On-X with Rapid Digital Conversion™ delivers all the advantages of traditional implant-supported restorations — plus the precision and efficiency of digital dentistry:
Fewer clinical appointments with optimized digital planning
Predictable outcomes with CAD/CAM accuracy
Enhanced aesthetic results uniquely matched to your facial form
Stable, long-lasting bite function and comfort
Bone preservation and soft-tissue health support
Is This Right for You?
Whether you’ve lost most of your teeth due to decay, trauma, or periodontal disease, this approach may be an ideal long-term solution. A consultation with Dr. Rami Salloum begins with a comprehensive examination, digital imaging, and personalized treatment planning to determine your best path forward.
You may be a candidate if you:
Are missing most or all teeth
Want a secure alternative to removable dentures
Have experienced jawbone loss
Seek long-term dental health and a natural-looking smile
The Full Implant Journey at Bright Dental
Your journey with Rapid Digital Conversion™ includes:
Digital scanning and imaging: Fast, non-invasive scans capture detailed oral and facial data.
Comprehensive planning: Digital planning tools help us design your full-arch prosthesis with precision.
Surgical implant placement: Implants are placed strategically to ensure strength and longevity.
Temporary prosthesis: Patients often leave with functional teeth the same day.
Final restoration: Once healing is complete, your custom prosthesis is delivered with comfort and confidence.
Experience the Difference
At Bright Dental, our commitment to Rapid Digital Conversion™ ensures you receive not only modern implant-supported restorations but also care that’s personalized, efficient, and cutting-edge. Dr. Salloum’s expertise, paired with state-of-the-art digital tools, gives you a smile that’s comfortable, functional, and beautifully natural.