bright dental pa
Dental Bone and Soft Tissue Grafting
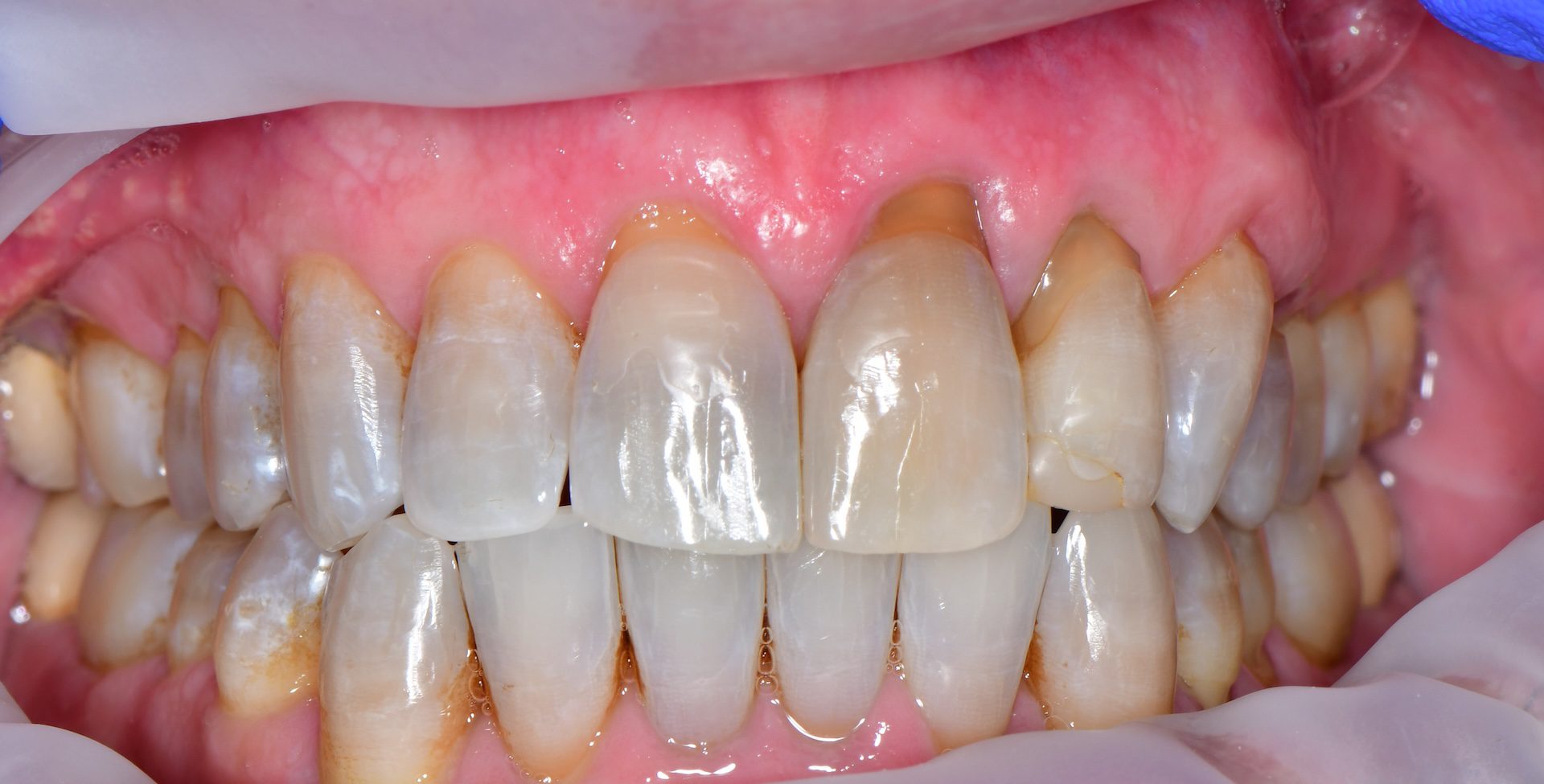
Why Does Bone Loss Occur?
How Bone Grafting Works
Bone grafting involves placing bone material—whether from the patient’s own bone, donor material, or synthetic sources—into areas of deficiency. At Bright Dental, we take this a step further by enhancing the grafting process using PRF (Platelet-Rich Fibrin), derived from the patient’s own blood, to create what is known as “sticky bone.” This technique offers significant advantages:
Enhanced Stability: The sticky bone stays securely in the desired area, reducing movement and ensuring optimal integration.
Accelerated Healing: PRF releases natural growth factors, which promote faster, more efficient bone regeneration and healing.
By combining cutting-edge techniques with the body’s natural healing abilities, we provide predictable and long-lasting grafting results.
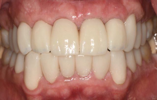
Benefits of Bone and Soft Tissue Grafting
Bone and soft tissue grafting offer numerous benefits, including:
Jawbone Restoration: Bone grafting rebuilds lost bone, preserving the natural contours of your face and preventing sunken features.
Improved Implant Stability: Rebuilding bone volume ensures a secure foundation for implants, reducing the risk of implant failure.
Gum Health Enhancement: Soft tissue grafting strengthens and protects the grafted bone while preventing gum recession and further bone loss.
Aesthetic Improvements: Healthy gum and bone structures contribute to a natural, youthful smile and improved bite functionality.
Together, these procedures provide long-term implant stability and a boost in overall confidence.


The Role of Soft Tissue Grafting
Healthy gums play a vital role in protecting bone grafts and supporting long-term oral health. Soft tissue grafting involves thickening and reinforcing gum tissue, creating a barrier that safeguards the underlying bone. This procedure prevents gum recession and infection, while also enhancing the overall appearance of your smile by providing a more natural, balanced look.
Advanced Techniques with Dr. Salloum