brightdentalpa

Cosmetic Dentistry in Bethlehem, PA

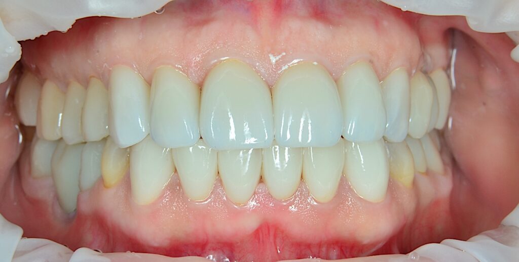
At Bright Dental, we believe that a beautiful smile can elevate your confidence and enhance your overall appearance. Our cosmetic dentistry services, led by Dr. Rami Salloum, offer personalized solutions to address a variety of dental concerns. From professional teeth whitening and custom veneers to dental implants and full smile makeovers, we’re here to help you achieve the radiant, natural smile you’ve always wanted.

What is Cosmetic Dentistry?

Cosmetic dentistry focuses on improving the appearance of your teeth and smile while supporting overall oral health and function. It addresses concerns like stained or discolored teeth, misalignments, gaps, missing teeth, and uneven gum lines. Whether through minor touch-ups or complete smile transformations, cosmetic treatments combine the precision of modern dental science with artistic skill to deliver natural, confident results.
brightdentalpa
brightdentalpa

What is Cosmetic Dentistry?

Cosmetic dentistry focuses on improving the appearance of your teeth and smile while supporting overall oral health and function. It addresses concerns like stained or discolored teeth, misalignments, gaps, missing teeth, and uneven gum lines. Whether through minor touch-ups or complete smile transformations, cosmetic treatments combine the precision of modern dental science with artistic skill to deliver natural, confident results.

Transform Your Smile Cosmetic Dentist in Bethlehem, PA

At Bright Dental, our doctors combine advanced technology and personalized care to create stunning, natural-looking smiles. With expertise in veneers, implants, teeth whitening, and full smile makeovers, our doctors deliver results tailored to your unique needs.

Dr. Salloum’s credentials include:

– Inventor of Rapid Digital Conversion
– Diplomate of the American Board of Oral Implantology (ABOI)
– Fellow of the American Academy of Implant Dentistry (AAID)
– Renowned speaker and educator in advanced cosmetic techniques

Discover how Dr. Salloum’s innovative approach can help you achieve the smile you’ve always dreamed of.

The Benefits of Choosing Our Expert Cosmetic Dentistry

At Bright Dental, patients gain access to advanced cosmetic dentistry techniques designed to transform smiles and improve overall oral health. Our comprehensive approach goes beyond aesthetics, ensuring enhanced function, long-term results, and renewed confidence. With personalized care and state-of-the-art technology, we deliver consistently outstanding outcomes tailored to each patient’s unique needs.

Key Benefits of Our Cosmetic Dentistry Services:

  • A brighter, more balanced smile for a natural, enhanced appearance
  • Increased self-confidence in both social and professional situations
  • Improved functionality, including easier chewing and clearer speech
  • Durable, long-lasting results that fit your specific goals
  • A more youthful, refreshed look with minimally invasive treatments
  • Let us help you achieve the smile you’ve always wanted with expert care and personalized solutions.

The Benefits of Choosing Our Expert Cosmetic Dentistry

At Bright Dental, patients gain access to advanced cosmetic dentistry techniques designed to transform smiles and improve overall oral health. Our comprehensive approach goes beyond aesthetics, ensuring enhanced function, long-term results, and renewed confidence. With personalized care and state-of-the-art technology, we deliver consistently outstanding outcomes tailored to each patient’s unique needs.

Cosmetic Dentistry Services Offered

  • Teeth Whitening: Achieve a brighter, whiter smile with our professional whitening treatments.
  • Veneers: Correct imperfections like chips, gaps, and stains with custom porcelain veneers.
  • Crowns and Bridges: Restore damaged or missing teeth with durable, natural-looking crowns and bridges.
  • Invisalign: Straighten your teeth discreetly with clear aligners.
  • Bonding: Repair chips, cracks, or discoloration with quick and effective dental bonding.