Skip to content
info@brightdentalpa.com
610-317-2400
Facebook
Instagram
Youtube
X-twitter
Home
About
Dr. Rami Salloum
Dr. Ghayath Alhalabi
Dr Salloum Publications
Contact
Smile Gallery
Implants
All-On-X & Full-Arch Implant Restorations with Rapid Digital Conversion
Immediate or Delayed Implant Placement
Bone and Soft Tissue Grafting
Services
Cosmetic Dentistry
General Dentistry
Digital Dentures
Full-mouth rehabilitation
Same-Day Emergency Dental visit
Testimonials
Technology
Blog
X
Book a Visit
Home
About
Dr. Rami Salloum
Dr. Ghayath Alhalabi
Dr Salloum Publications
Contact
Smile Gallery
Implants
All-On-X & Full-Arch Implant Restorations with Rapid Digital Conversion
Immediate or Delayed Implant Placement
Bone and Soft Tissue Grafting
Services
Cosmetic Dentistry
General Dentistry
Digital Dentures
Full-mouth rehabilitation
Same-Day Emergency Dental visit
Testimonials
Technology
Blog
X
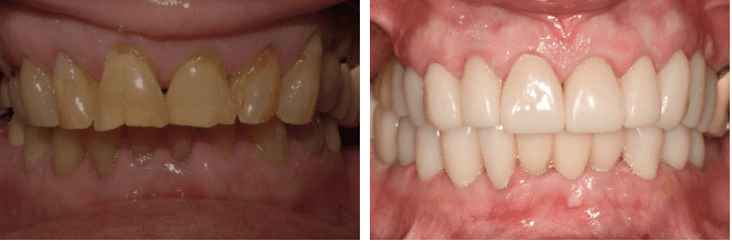
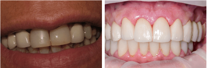
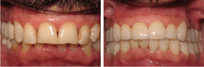
Dental Implant
Search
Start typing to see posts you are looking for.