bright dental pa

Tooth Replacement with Immediate or Delayed Implant Placement

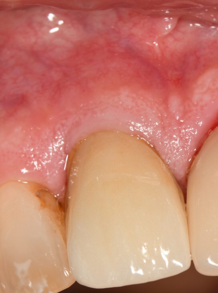
Replacing missing teeth is essential for maintaining proper oral function, preventing bone loss, and preserving the natural aesthetics of a smile. At Bright Dental in Lehigh Valley, PA, immediate or delayed implant placement options are available depending on the clinical situation.

Bright Dental – Lehigh Valley, PA

Immediate implants are placed at the time of extraction, which can minimize treatment time and help maintain bone structure. Alternatively, delayed implant placement allows for healing before the implant is inserted, often chosen when additional bone or soft tissue support is required. Both approaches provide stable, long-term solutions designed to support prosthetic restorations and enhance oral health.

Advanced Solutions for Implant-Supported Tooth Replacement

right Dental in Lehigh Valley, PA, provides innovative implant-supported tooth replacement solutions for patients with single or multiple missing teeth. Under the guidance of Dr. Rami Salloum, our team combines extensive experience with cutting-edge techniques, including guided implant placement, to create customized treatment plans tailored to each patient’s unique needs. Guided implant placement enhances accuracy and ensures optimal positioning for both immediate and delayed implants, depending on the clinical situation. This precise approach promotes stable, long-lasting restorations designed to restore function, protect oral health, and enhance the natural appearance of your smile.

What Are the Benefits of Missing Tooth Replacement?

Replacing missing teeth with dental implants at Bright Dental in Lehigh Valley, PA, under the care of Dr. Rami Salloum, offers several key advantages beyond aesthetics:

– Permanent, stable solution: Provides a durable, fixed replacement for missing teeth.

– Jawbone preservation: Prevents bone loss and maintains facial structure.

– Natural appearance: Custom restorations blend seamlessly with existing teeth.

– Improved function: Restores the ability to chew and speak with ease.

– Boosted confidence: Enhances self-assurance in both personal and professional settings.

These benefits contribute to a healthier, more functional, and confident smile.

About Missing Tooth Replacement

Replacing single or multiple missing teeth with dental implants is considered one of the most dependable and long-lasting methods for restoring both the appearance and function of your smile. Dental implants consist of biocompatible titanium posts that serve as artificial tooth roots, securely embedded in the jawbone. Over time, the implants integrate with the bone, creating a strong and stable foundation for custom restorations such as crowns, bridges, or implant-supported dentures. In addition to closing gaps left by missing teeth, dental implants help preserve bone structure, prevent further bone loss, and restore the ability to eat and speak naturally. Whether you need to replace one tooth or several, implants offer a permanent solution that closely replicates the function and aesthetics of natural teeth.

Who Is a Candidate for Single or Multiple Implants?

At Bright Dental in Lehigh Valley, PA, determining candidacy for single or multiple dental implants begins with a comprehensive consultation with Dr. Rami Salloum. During this visit, your oral health, jawbone density, and treatment goals are carefully assessed to determine if implants are the right solution for you. This personalized approach ensures a customized treatment plan designed for long-term success. Ideal candidates for dental implants include:

– Patients missing one or more teeth
– Individuals with sufficient jawbone density to support implants
– Those seeking a permanent, stable alternative to bridges or dentures
– Patients in good general health, without uncontrolled conditions like diabetes
– Individuals committed to maintaining proper oral hygiene following treatment

This thorough evaluation helps ensure optimal outcomes for a healthy, lasting smile.

Why Choose Bright Dental for Missing Tooth Replacement?

At Bright Dental in Lehigh Valley, PA, Dr. Rami Salloum brings a combination of extensive expertise and advanced technology to every dental implant procedure. As a highly skilled implant specialist with years of experience, Dr. Salloum focuses on precision and long-term success, offering tailored solutions for each patient’s unique needs. His commitment to innovation includes techniques like guided implant placement and personalized treatment planning to ensure optimal outcomes. At Bright Dental, we prioritize patient comfort, using modern equipment in a welcoming environment to create a smooth, stress-free experience. Dr. Salloum’s dedication to excellence makes our practice a trusted choice for reliable, natural-looking tooth replacement.

The Treatment Procedure

Consultation and Planning: A thorough evaluation of your oral health is performed, including advanced imaging techniques like 3D scans and digital X-rays to plan the precise placement of the implant.

– Implant Placement: Titanium implant posts are surgically placed into the jawbone at the site of the missing tooth or teeth, ensuring optimal positioning for stability and function.

– Healing and Integration: Over the following months, the implant will fuse with the jawbone through a process called osseointegration, creating a strong and secure base for the final restoration.

– Final Restoration: Once healing is complete, a custom-designed crown, bridge, or denture is attached to the implant, restoring both the appearance and functionality of your smile.

The Treatment Procedure

Consultation and Planning: A thorough evaluation of your oral health is performed, including advanced imaging techniques like 3D scans and digital X-rays to plan the precise placement of the implant.

– Implant Placement: Titanium implant posts are surgically placed into the jawbone at the site of the missing tooth or teeth, ensuring optimal positioning for stability and function.

– Healing and Integration: Over the following months, the implant will fuse with the jawbone through a process called osseointegration, creating a strong and secure base for the final restoration.

– Final Restoration: Once healing is complete, a custom-designed crown, bridge, or denture is attached to the implant, restoring both the appearance and functionality of your smile.

What to Expect After Single or Multiple Implants

Following your dental implant procedure at Bright Dental in Lehigh Valley, PA, you may experience mild swelling or discomfort, which typically diminishes within a few days. Dr. Rami Salloum will provide personalized aftercare instructions to support a smooth and effective recovery. During the healing phase, the implant will integrate with the jawbone, creating a stable, permanent foundation for your custom restoration. Once fully healed, you can expect a natural-looking smile with restored chewing and speaking abilities. With proper oral hygiene and regular checkups, your dental implants can provide reliable, long-lasting results for decades